犬の胆嚢粘液嚢腫は、胆嚢内にゼラチン状の粘液が過剰に蓄積する病気です。
この粘液が胆汁の流れを妨げ、胆道閉塞や胆嚢破裂を引き起こす可能性があります。

【 原 因 】
胆嚢粘液嚢腫の原因はいまだに解明されておりませんが、
・ 膵炎、胆管炎、肝炎、細菌感染など
・ ホルモンの異常(クッシング症候群や甲状腺機能低下など)
・ 高脂血症
・ 家族性因子(シュナウザー、コッカースパニエル、シェルティー、チワワなど)
などが関与している可能性があります。
その他、トイプードル、マルチーズ、ポメラニアン、ミニチュアダックスフンド、柴なども良くみられます。
【 症 状 】
症状は病気の進行度によって異なります。
無症状(偶発的発見): 健康診断や別の理由で行った超音波検査で偶然発見されるケースが多いです。この段階では、犬は元気で食欲もあり、特別な症状を示しません。
軽度〜中程度の症状: 胆道が部分的に閉塞すると、吐き気、嘔吐、食欲不振、腹痛、下痢、元気消失などの非特異的な消化器症状が現れます。
重度の症状(胆嚢破裂): 胆嚢が破裂すると、胆汁性腹膜炎を引き起こし、重度の腹痛、ショック、発熱、脱水、黄疸などの緊急性の高い症状が現れます。この状態は命にかかわります。
【 診 断 】
超音波検査で胆嚢とその周囲の臓器(肝臓、膵臓、十二指腸など)の状態を確認します。
併発疾患や他の病気の有無を確認するため、血液検査、レントゲン検査も行います。
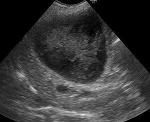
腹部超音波検査: 胆嚢内に特徴的な「キウイフルーツ」や「星空」のような模様を持つ粘液が観察されます。これは診断において最も重要な検査です。
血液検査: 肝酵素(ALP、ALT、GGT)の上昇、ビリルビン値の上昇、白血球数の増加などがみられることがあります。
X線検査: 胆嚢の大きさや位置を確認することができますが、粘液嚢腫自体の診断には超音波検査が優れています。
【 治 療 】
治療の第一選択は、外科手術による胆嚢切除術です。
開腹術: 腹部を大きく切開して行う従来の手術方法です。
複雑な症例や、周囲の臓器への癒着がある場合に適しています。
腹腔鏡手術: お腹を大きく切開することなく、小さな穴をいくつか開け、カメラを見ながら行う低侵襲な手術です。
開腹術に比べて術後の痛みが少なく、回復が早いとされています。
ただし、熟練した技術が必要で、すべての動物病院で実施できるわけではありません。
内科療法: 症状がない場合や手術リスクが高い場合は、ウルソデオキシコール酸などの胆汁酸製剤を用いて、胆汁の流れを改善する内科療法が検討されることもあります。
しかし、粘液嚢腫自体を溶解する効果は限定的です。
約50-60%の割合で胆嚢破裂を起こす可能性があるため、外科手術(胆嚢切除)が推奨されています。
特に以下の場合には、緊急の対応が必要です。
・ 胆嚢が破裂している場合。
炎症性の腹水(腹膜炎)や胆嚢周囲の炎症所見がある。
・ ビリルビンの上昇を認める。もしくは過去にビリルビンの上昇を認めた場合。
・ エコー検査で総胆管の拡張を認めた場合。
【 手術の合併症 】
手術後にもいくつかの合併症が発生する可能性があります。
術後出血: 術後に胆嚢周囲から出血が続くことがあります。
胆汁漏出: 胆嚢を摘出した部分から胆汁が漏れ出し、腹膜炎を引き起こすことがあります。
胆管閉塞: 総胆管が手術の癒着や炎症によって閉塞し、黄疸や肝機能障害を引き起こすことがあります。
創部感染: 手術部位が細菌に感染し、化膿することがあります。
膵炎: 手術中の操作や胆汁漏出が原因で、膵臓に炎症が起こり、急性膵炎を発症することがあります。
胆管の狭窄: 手術後の炎症や線維化により、胆管が狭くなることがあります。
これらのリスクや合併症を最小限に抑えるため、手術前に十分な術前検査を行い、熟練した獣医師が執刀することが非常に重要です。
また、術後は厳重なモニタリングと適切な管理が必要となります。
【 予 後 】
病気の進行度と手術・治療のタイミングに大きく左右されます。
1. 症状がない状態(偶発的発見)
死亡率:数%〜5%
胆嚢が破裂しておらず、全身状態が安定しているため、最も死亡リスクが低い状態です。予防的に手術を行うことで、将来的な重篤な合併症を防ぐことができます。
2. 症状がある状態(胆嚢破裂なし)
死亡率:10%〜20%
嘔吐や食欲不振などの症状が出ていますが、胆嚢の破裂は伴っていない状態です。無症状の状態に比べて死亡リスクは高まりますが、それでも手術によって良好な予後が期待できます。
3. 胆嚢が破裂した状態
死亡率:40%〜60%以上
胆嚢から漏れ出た胆汁が腹腔内で炎症(胆汁性腹膜炎)を引き起こしているため、死亡リスクが非常に高くなります。緊急手術と集中的な術後管理が必要ですが、ショックや敗血症を併発していることが多く、救命が困難なケースも少なくありません。
これらの死亡リスクは、犬の年齢、基礎疾患(糖尿病、クッシング病など)、併発症(膵炎など)、および執刀医の技術によって変動する可能性があります。
【 参考文献 】
・Jang, C., et al. (2021). Risk factors and prognostic indicators for surgical outcomes in dogs with gallbladder mucocele: A retrospective study of 80 cases (2015–2019). Veterinary Surgery, 50(7), 1332–1342.
・Pike, F. S., et al. (2018). Gallbladder mucocele: Pathophysiology, diagnosis, and surgical management. Compendium: Continuing Education for Veterinarians, 40(1), E1–E10.
・Amsellem, P. M., et al. (2015). Retrospective evaluation of risk factors for developing adverse outcomes in dogs undergoing cholecystectomy for gallbladder mucocele. Journal of Veterinary Internal Medicine, 29(1), 116–123.
※当院では、開腹手術に加えて、 腹腔鏡手術も行っております。